Scientists from Netherlands discover new organ in human throat
By Benson | Updated: October 22, 2020 15:24 IST2020-10-22T15:24:15+5:302020-10-22T15:24:15+5:30

Scientists in the Netherlands have discovered a potential new organ in the human throat that they stumbled upon while carrying out research on prostate cancer, Livescience reported

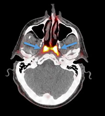
Researchers at the Netherlands Cancer Institute have identified a set of salivary glands deep in the upper part of the throat and have named them “tubarial salivary glands”.

According to a study published in the journal Radiotherapy and Oncology, the researchers confirmed the presence of the glands after examining at least 100 patients

The discovery may be important for cancer treatment. So far, this nasopharynx region — behind the nose — was not thought to host anything but microscopic, diffuse, salivary glands.

The newly discovered glands are about 1.5 inches (3.9 centimeters) in length on average and are located over a piece of cartilage called the torus tubarius, Livescience reported. According to the researchers, the glands probably lubricate and moisten the upper throat behind the nose and mouth.

The new organ was discovered while scientists were studying prostate cancer cells using PSMA PET-CT technology — a combination of CT scans and positron emission tomography (PET) — which is good in detecting salivary gland tissues. In this technique, a radioactive “tracer” is injected into the patient that binds to the protein PSMA, which is elevated in prostate cancer cells.























