Marathi
|
Hindi
Download App
Epaper
Home
City
Latest News
Cricket
LT Premium
National
International
Maharashtra
Opinions
Chhatrapati Sambhajinagar
Nagpur
Entertainment
Photos
Business
Technology
Sports
Lifestyle
Social Viral
Lokmat Games
Health
City
Home
Latest
National
International
Cricket
Maharashtra
Entertainment
LT Premium
Web Stories
Chhatrapati Sambhajinagar
Trending Topics :
BMC Election 2026
Mumbai Air Pollution
Maharashtra Local Body Elections
Stock Market News
Maharashtra News
Mumbai Local
All
News
Photos
Videos
Susanna Rosi
FOLLOW
Susanna rosi, Latest News
International :
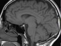
Can deep space radiation seriously affect human brain?
New York, Oct 21 Exposure to deep space radiation could have a big impact on the brain, according ... ...