![Author Santana Babu’s Acclaimed Work “The Sacred Cow” Garners Recognition at Abu Dhabi Book Fair – 2024 - Hindi News | Author Santana Babu’s Acclaimed Work “The Sacred Cow” Garners Recognition at Abu Dhabi Book Fair – 2024 | Latest business News at Lokmattimes.com Author Santana Babu’s Acclaimed Work “The Sacred Cow” Garners Recognition at Abu Dhabi Book Fair – 2024 - Hindi News | Author Santana Babu’s Acclaimed Work “The Sacred Cow” Garners Recognition at Abu Dhabi Book Fair – 2024 | Latest business News at Lokmattimes.com]()
1. How has Santana Babu’s diverse academic background and career in mimicry influenced the research and writing process of “The ... ...
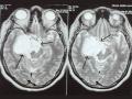
![DR. L H HIRANANDANI HOSPITAL SUCCESSFULLY TREATED RARE EPILEPSY CASE THROUGH NEUROSURGERY - Hindi News | DR. L H HIRANANDANI HOSPITAL SUCCESSFULLY TREATED RARE EPILEPSY CASE THROUGH NEUROSURGERY | Latest business News at Lokmattimes.com DR. L H HIRANANDANI HOSPITAL SUCCESSFULLY TREATED RARE EPILEPSY CASE THROUGH NEUROSURGERY - Hindi News | DR. L H HIRANANDANI HOSPITAL SUCCESSFULLY TREATED RARE EPILEPSY CASE THROUGH NEUROSURGERY | Latest business News at Lokmattimes.com]()
Mumbai (Maharashtra) (India), July 15 : Dr L H Hiranandini Hospital is proud to announce the successful treatment of a ... ...
![EO Noida Adds Another Feather to Its Cap: Celebrating the Rockstar Platinum Award 2023-24 - Hindi News | EO Noida Adds Another Feather to Its Cap: Celebrating the Rockstar Platinum Award 2023-24 | Latest business News at Lokmattimes.com EO Noida Adds Another Feather to Its Cap: Celebrating the Rockstar Platinum Award 2023-24 - Hindi News | EO Noida Adds Another Feather to Its Cap: Celebrating the Rockstar Platinum Award 2023-24 | Latest business News at Lokmattimes.com]()
New Delhi (India), July 16: The Entrepreneurs’ Organization (EO) Noida chapter has once again demonstrated its excellence by being ... ...
![IPO Sensation: Menhood’s Parent Company, Macobs Technologies Limited, Gears Up for Major NSE Emerge Debut - Hindi News | IPO Sensation: Menhood’s Parent Company, Macobs Technologies Limited, Gears Up for Major NSE Emerge Debut | Latest business News at Lokmattimes.com IPO Sensation: Menhood’s Parent Company, Macobs Technologies Limited, Gears Up for Major NSE Emerge Debut - Hindi News | IPO Sensation: Menhood’s Parent Company, Macobs Technologies Limited, Gears Up for Major NSE Emerge Debut | Latest business News at Lokmattimes.com]()
New Delhi (India), July 15: In an electrifying move that's set to shake up the grooming sectors, Macobs Technologies, ... ...
![TMC – Talent Management Company Pvt Ltd is Redefining Talent Management in India - Hindi News | TMC – Talent Management Company Pvt Ltd is Redefining Talent Management in India | Latest business News at Lokmattimes.com TMC – Talent Management Company Pvt Ltd is Redefining Talent Management in India - Hindi News | TMC – Talent Management Company Pvt Ltd is Redefining Talent Management in India | Latest business News at Lokmattimes.com]()
Mumbai, (Maharashtra) (India), July 15 : TMC – Talent Management Company Pvt Ltd is a leading talent management firm based ... ...
![Amol Shingate, CEO & Director participates in field work activities with coworkers to set a unique example of employees engagement - Hindi News | Amol Shingate, CEO & Director participates in field work activities with coworkers to set a unique example of employees engagement | Latest business News at Lokmattimes.com Amol Shingate, CEO & Director participates in field work activities with coworkers to set a unique example of employees engagement - Hindi News | Amol Shingate, CEO & Director participates in field work activities with coworkers to set a unique example of employees engagement | Latest business News at Lokmattimes.com]()
New Delhi : Amol Shingate, the Director and CEO of ‘Supreme Facility Management Limited‘, has personally paid visits to the ... ...
![Hafele Lighting – Delft Series Architectural Lights by Hafele - Hindi News | Hafele Lighting – Delft Series Architectural Lights by Hafele | Latest business News at Lokmattimes.com Hafele Lighting – Delft Series Architectural Lights by Hafele - Hindi News | Hafele Lighting – Delft Series Architectural Lights by Hafele | Latest business News at Lokmattimes.com]()
Hafele Lighting – Delft Series Architectural Lights New Delhi (India) July 15 : Hafele's Loox Range has been meeting ... ...
![Kataria Industries Limited IPO To Open On 16th July, Sets Price Band At Rs 91 to Rs 96 Per Share - Hindi News | Kataria Industries Limited IPO To Open On 16th July, Sets Price Band At Rs 91 to Rs 96 Per Share | Latest business News at Lokmattimes.com Kataria Industries Limited IPO To Open On 16th July, Sets Price Band At Rs 91 to Rs 96 Per Share - Hindi News | Kataria Industries Limited IPO To Open On 16th July, Sets Price Band At Rs 91 to Rs 96 Per Share | Latest business News at Lokmattimes.com]()
New Delhi (India) July 15 : Incorporated in 2004, Kataria Industries Limited manufactures and supplies Low Relaxation Pre-stressed Concrete ... ...