City
Epaper

US researchers find gut bacteria that can help lose weight, boost metabolic health

By IANS | Updated: December 20, 2025 16:15 IST

New Delhi, Dec 20 US researchers have found a gut bacterium that may help people lose weight and ...

Open in App

New Delhi, Dec 20 US researchers have found a gut bacterium that may help people lose weight and enhance their metabolic health.

This comes amid several weight-loss injections and medications that have proved their ability to help people lose weight.

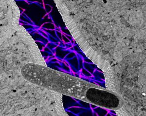
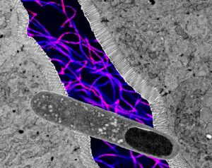
In studies on mice, the team from the University of Utah found that a specific type of gut bacteria, called Turicibacter, can improve metabolic health and reduce weight gain.

People with obesity tend to have less Turicibacter, suggesting that the microbe may promote healthy weight in humans as well. The results could lead to new ways to control weight by adjusting gut bacteria, said the team, in the paper published in the journal Cell Metabolism.

Turicibacter, a rod-shaped bacterium, was found to single-handedly reduce blood sugar, levels of fat in the blood, and weight gain for mice on a high-fat diet.

Turicibacter’s effects are unlikely to be unique; many different gut bacteria probably contribute to metabolic health. And results based on animal models may not apply to people.

“We have improved weight gain in mice, but I have no idea if this is actually true in humans,” Round said.

But the researchers remain hopeful that Turicibacter could provide a starting point for developing treatments that promote healthy metabolism and prevent excessive weight gain.

Turicibacter appears to improve metabolic health by affecting how the host produces a fatty molecule called ceramides, the researchers found.

Ceramide levels increase on a high-fat diet, and high levels of ceramides are associated with many metabolic disorders, including type 2 diabetes and heart disease. But the fats produced by Turicibacter can keep ceramide levels low, even for mice on a high-fat diet.

“With further investigation of individual microbes, we will be able to make microbes into medicine and find bacteria that are safe to create a consortium of different bugs that people with different diseases might be lacking,” said first author Kendra Klag from the varsity.

Disclaimer: This post has been auto-published from an agency feed without any modifications to the text and has not been reviewed by an editor

Open in App

Related Stories

InternationalPune LitFest 2025: Jaishankar draws parallels between coalition politics, multipolar world

InternationalUS seizes second oil tanker off the coast of Venezuela

InternationalWhether this sentence would have been given if Imran Khan had been a favourite of system: Pak public boils former PM sentenced to 17 years in Toshakhana 2 case

InternationalDubai reinforces status as global hub for major sports events

EntertainmentCynthia Erivo calls ‘Wicked’ a cultural movement

Health Realted Stories

HealthPM POSHAN scheme serving fresh food to children in government schools in MP's Damoh

HealthMenstrual Syndrome: Not Just Stomach Pain, These 5 Signs Appear Before Periods

HealthUse weight-reducing drugs judiciously: Union Minister Jitendra Singh

HealthIs Overtraining Harmful to the Heart? What Experts Say After Chinese Bodybuilder’s Death

HealthIndian Railways slapped Rs 2.8 crore fine over food complaints in last 4 years: Minister