AllNewsPhotosVideos
American Cancer Society

American Cancer Society

American cancer society, Latest News

The American Cancer Society is a nationwide voluntary health organization dedicated to eliminating cancer. Established in 1913, the society is organized into six geographical regions of both medical and lay volunteers operating in more than 250 Regional offices throughout the United States.
Read More
Childhood cancer survivors not more likely to undergo abortion: Study - Hindi News | Childhood cancer survivors not more likely to undergo abortion: Study | Latest health News at Lokmattimes.com

Health :Childhood cancer survivors not more likely to undergo abortion: Study

According to a new study, female childhood cancer survivors face a lower likelihood of becoming pregnant than women in the general population, but once pregnant, they are not more likely to undergo an abortion. ...

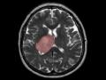
Exposure to common food-borne parasite linked to rare brain cancer - Hindi News | Exposure to common food-borne parasite linked to rare brain cancer | Latest health News at Lokmattimes.com

Health :Exposure to common food-borne parasite linked to rare brain cancer

New York, Jan 11 If you eat undercooked meat then you may need to stop it, as researchers have ... ...

Better physical and mental health noticed in active older adults - Hindi News | Better physical and mental health noticed in active older adults | Latest health News at Lokmattimes.com

Health :Better physical and mental health noticed in active older adults

An overall better physical and mental health has been noticed in older adults who have higher physical activity and lower sitting time, as per the findings of a new study from the American Cancer Society (ACS). ...

Active older adults have better physical, mental health: Study - Hindi News | Active older adults have better physical, mental health: Study | Latest lifestyle News at Lokmattimes.com

Lifestyle :Active older adults have better physical, mental health: Study

Older adults with higher physical activity and lower sitting time have better overall physical and mental health, according to a new study from the American Cancer Society (ACS). ...

Black women may be less likely to receive timely treatment for breast cancer, finds study - Hindi News | Black women may be less likely to receive timely treatment for breast cancer, finds study | Latest lifestyle News at Lokmattimes.com

Lifestyle :Black women may be less likely to receive timely treatment for breast cancer, finds study

Black women experience longer waits for treatment initiation than white women after a breast cancer diagnosis, and their duration of treatment is prolonged, suggest the findings of new research. ...

Cancer, its treatment may accelerate aging process in young patients: Study - Hindi News | Cancer, its treatment may accelerate aging process in young patients: Study | Latest lifestyle News at Lokmattimes.com

Lifestyle :Cancer, its treatment may accelerate aging process in young patients: Study

The expression of a gene associated with ageing is higher in young patients with cancer after treatment with chemotherapy and in young cancer survivors who are frail, according to a recent study. ...

Vitamin D may help prevent common side effect of anti-cancer immunotherapy - Hindi News | Vitamin D may help prevent common side effect of anti-cancer immunotherapy | Latest health News at Lokmattimes.com

Health :Vitamin D may help prevent common side effect of anti-cancer immunotherapy

New research indicates that the intake of vitamin D supplements may help prevent a potentially serious side effect of a revolutionary form of anti-cancer therapy. ...

Having a child with cancer doesn't trigger parents' risk of separation - Hindi News | Having a child with cancer doesn't trigger parents' risk of separation | Latest lifestyle News at Lokmattimes.com

Lifestyle :Having a child with cancer doesn't trigger parents' risk of separation

While having a child with cancer can cause feelings of fear and uncertainty among parents and burden them with many practical challenges related to caregiving and work-related obligations, a recent Denmark study has discovered that having a child wit ...