AllNewsPhotosVideos
Edwin Booth

Thomas Booth

Thomas booth, Latest News

Edwin Thomas Booth was an American actor who toured throughout the United States and the major capitals of Europe, performing Shakespearean plays. In 1869, he founded Booth's Theatre in New York.
Read More
Study highlights importance of routinely imaging brain tumour patients - Hindi News | Study highlights importance of routinely imaging brain tumour patients | Latest technology News at Lokmattimes.com

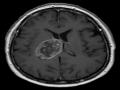
Technology :Study highlights importance of routinely imaging brain tumour patients

A team of researchers during a recent study explored the best way to monitor brain tumour. The team consisted of experts from the UK and stakeholders who met to discuss the value of routinely imaging brain tumour patients to assess their tumour treat ...

Researchers shed light on routinely imaging brain tumour - Hindi News | Researchers shed light on routinely imaging brain tumour | Latest health News at Lokmattimes.com

Health :Researchers shed light on routinely imaging brain tumour

A team of researchers explored the best way to monitor brain tumour. The article is the work of a large collaboration of UK experts and stakeholders who met to discuss the value of routinely imaging brain tumour patients to assess their tumour treatm ...